審美歯科

審美歯科とは

審美歯科とは

通常の歯科治療は虫歯の治療や歯周病の治療を行います。

審美歯科では顔とのバランスを考えて白くしたり矯正をしたり被せ物の材料を考えたり、通常の治療に加えて美しさを求めます。

通常の歯科治療よりもより見た目の改善を重視される患者様にお勧めするのが審美歯科治療です。

審美歯科の治療の流れ

ご予約
ご予約

お電話にてご予約下さい。

ご来院頂きましたら問診表をお渡し致しますので、治療のご希望やお悩みをご記入下さい。

06-6343-8049

診断・カウンセリング
診断・カウンセリング

患者様のご要望をうかがい、各種検診やデジタルレントゲン撮影を行います。お悩みをしっかりと把握した上で、お口の状態を診断します。

口腔内の現状の説明、考えられるいくつかの治療計画、最適な治療法、費用など模型や資料を基に詳しくご説明致します。

治療
治療

審美治療は見た目だけでなく機能性も大切ですので、きちんとした組織に戻し効果的な審美治療をすすめていきます。治療過程や状況も随時ご説明致します。

定期健診
定期検診

治療が終了した後も、歯の健康な状態を維持するために定期健診を受診して頂くことをお勧めしています。

セラミックインレー

セラミックインレー

セラミックインレーとは?

通常、保険治療において虫歯を削る部分に金属の詰め物をしますが、より自然な歯に見せる為にセラミックスの材料を使います。

歯と同じ硬さで自然な噛み心地です。口を大きく開けて笑う時、銀歯が気になる方におすすめしています。

陶器なので変色せず、きれいな状態を持続します。金属アレルギーの方も心配いりません。

銀歯などの詰め物を
白くしたい方へ

詰め物を白くしたい

セラミックとハイブリットの違い

両方とも白い天然歯の色ですが、長期的な色の変化はハイブリッドの方が少し変色していきます。ハイブリットは、セラミックに比べ、耐久性が少し劣ります。

ハイブリッドは強度を高めるためのフィラー粒子が大きいため、セラミックに比べ対合歯を咬耗させやすいです。

期間 2回
内容 虫歯を削り、歯の型取りをします。
次の来院時に出来上がったセラミックインナーをしっかりと調整して歯にセットします。
メリット ・精密印象により作成するので適合が良く、出っ歯になりにくい。
・金属アレルギーの方でも安心してご利用頂いています。
・保証期間2年
・歯に合わせた色にすることができるので、銀歯に比べると目立たない。
デメリット ・保険外の為費用がかかる
・金属の詰め物に比べ、欠けることがある
費用(税別) ¥25,000~¥40,000
(ハイブリッドインレー)
¥50,000~¥60,000
(セラミックインレー)

ラミネートベニア

ラミネートベニア

ラミネートベニアとは?

ラミネートベニア法は、歯の表面をほんの少し削り、薄いセラミックを貼り付ける“付け爪”のようなものです。

ホワイトニングではむずかしい強く変色した歯も白くできます。歯の形を(幅や長さ、傾きを)ある程度自由に変える事ができます。

歯の隙間が気になる方、
歯の変色が気になる方へ

治療の流れ

モックアップを装着して、
治療計画を立てていきます。

術前に歯形を取り、模型を使ってシミュレーションします。

治療
ラミネートベニアが完成したら、
被せます。

被せ終わりましたら、確認して頂きます。

治療
期間 2~3回
内容 前歯のすきっ歯を綺麗にする治療
メリット ・金属アレルギーでも安心できる。
・自分の歯をあまり削らないで見た目をキレイにできる。
・変色した歯や前歯のすきっ歯を短時間でキレイにできる。
・被せ物のクラウンに比べて、自分の歯をあまり削らない。(数ミリ0.3~0.5ミリ)
・咬み合わせを変化させない。
デメリット ・コンポジットレジン修復に比べ外れることがある。
・破折している場合や虫歯がある場合はできない。
・歯並びによってできない場合がある。
・基本有髄歯(神経のある歯)が適応。
費用(税別) ¥90,000

オールセラミック・
ジルコニア

オールセラミック・ジルコニア

オールセラミック、
ジルコニアとは?

被せ物全体がセラミックでできているので、色調がきれいで、天然の歯の様な自然な透明感を再現できます。

そして、セラミックの中でも審美性の高い素材として、今大変注目を浴びているのがジルコニアです。

ジルコニアは人工ダイヤモンドとして有名ですが、金属よりも軽く丈夫で、金属アレルギーが起こらず、変色もありません。

さらにしなやかさ、光を透過する美しさを兼ね備えた最新の素材です。

期間 土台からの修復5~6回
内容 歯全体(咬み合わせも含め)を修復します。
①元々入っているクラウンを削り外します。
②土台の形成を行い、型取りをします。
③セラミッククラウンが出来てくるまでの間に歯に付ける仮歯を作ります。
④セラミッククラウンが出来上がると、咬み合わせ、歯間の調整を行いセットします。
メリット ・オールセラミックは細かい色の調整ができるので、透明感があり自然な仕上がりになります。
・変色しにくい。
デメリット ・費用がかかる。
費用(税別) ¥120,000

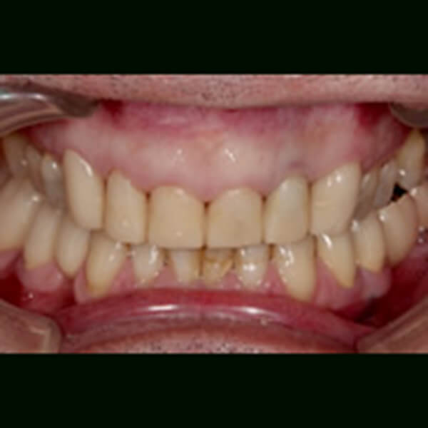
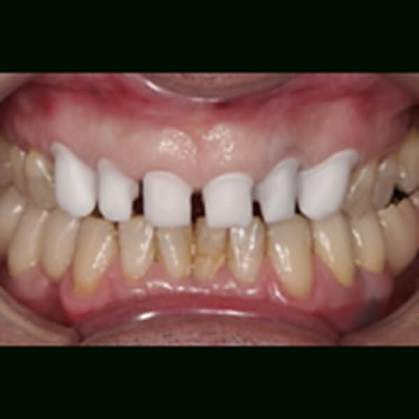
治療の流れ
(オールセラミックで前歯をキレイに)

カウンセリング

クラウンと歯茎の境目の色が気になる。

オールセラミック
歯を削る

クラウンを除去し、オールセラミッククラウンを装着する為、歯を削りました。

オールセラミック
試適

ジルコニアコーピングの試適

オールセラミック
仕上げ

オールセラミッククラウン装着後の状態。歯の形態や色調、歯肉の調和がとれ綺麗な仕上がりに。

オールセラミック

メタルセラミック

メタルセラミック

メタルセラミックとは?

メタルセラミックとは、被せ物や差し歯の全体がセラミック(陶器)で覆われていて、内側だけ金属で補強しているものです。

全てがセラミック素材(オールセラミック)と違って、歯を作る土台に金属を使うので大変丈夫で長持ちします。

多少見た目の透明感等は劣りますが、奥歯やブリッジの部分には、強度のあるメタルセラミックが適しています。

メタルセラミックのメリット

  • 歯の色調に似ているので見た目が綺麗
  • 矯正治療のように時間がかからず短時間で治療ができる
  • 内部を強い金属で補強するのでブリッジや連結冠に最適

メタルセラミックのデメリット

  • 色調はオールセラミックより多少劣る
  • 金属を使用している為、将来的に歯茎が下がり、歯と歯茎の境目が見えてくる事がある
  • 金属アレルギーを引き起こす可能性がある

料金表

※横にスライドしてご覧頂けます。

種類 金額 保証期間
オールセラミック・ジルコニア ¥120,000 7年
メタルセラミック ¥90,000~¥100,000 7年
ゴールドクラウン ¥80,000 7年
ハイブリッドクラウン ¥50,000~¥60,000 5年
ラミネートベニア(付け爪のような方法) ¥90,000 5年
セラミックインレー ¥50,000~¥60,000 5年
かぶせものの土台 ¥10,000~¥15,000 -

※上記金額は税別料金となっております。

保険外治療とは?

保険外治療とは?

保険診療の場合、厚生労働省が定めた制約が多くいろいろな制限があります。

使える材料、金属、かぶせ物の素材の違い、治療法も制限されているのです。

美等の見た目を良くする施術は保険外治療となります。(またインプラント等も保険外にあたります)

保険外治療の場合、良い材料や器具を使用できるので、型取りの際から高い精度のものが作れます。

材質により耐久性や審美性はもちろん、歯科医師の医療技術にあわせて、作成する技工士も違います。

ですので、その質を考えた時、患者様の満足いく治療が必ずしも保険の範囲で難しい場合もあります。

患者様のご要望をお聞きして治療法の選択肢のご提案、費用、長所、短所を説明して十分にご理解頂いたうえで治療にとりかかります。

審美治療の保証期間について

見た目の良さだけで長持ちしないもの、しっかり噛むことができない歯は正直、提供したくありません。

短期間での広告をよく目にしますが、長期的な安定は短期間での治療では難しいのが現状です。

せっかく高い費用をかけて治療するのですから、すぐこわれたり、はずれたりしてはもったいないです。当院は見た目と機能の両立が大切であると考えております。

保証期間が何年であるかも病院選びの参考になるのではないでしょうか?

〒530-0001
大阪府大阪市北区梅田1-11-4
大阪駅前第4ビル2階

診療時間
9:30~13:30 × ×
13:30~20:00 × ×

祝日のある週は水曜午後診療(14:30~20:00)を
行っています。

06-6343-8049 英語対応可 / Available in English