インプラント

インプラント治療とは?

インプラント治療とは

インプラント(Implant)とは、植え付けるという意味の英語で、歯科的にいえば、「人工歯根を顎の骨に埋め込む治療」。または、「人工歯根」そのものを指します。

1952年にスウェーデンの科学者がチタンと骨が結合することを発見し、様々な研究、実験を繰り返し、1960年代に初めてインプラント治療が行われました。

日本では、1990年代にインプラント治療が普及しはじめ、近年、急速な進歩を遂げている最新の治療法です。従来の治療法と比べて、多くのメリットがあります。

当院では、世界数百社のうち世界最高品質のインプラントだけを使用しております。ストローマン(スイス)、ノーベルバイオケア(スウェーデン)

インプラントは、歯科の中で最も高度な診断、技術、環境を要するものです。豊富な知識と経験、実績で、皆様に最善の診療を提供できれば幸いです。

インプラントのメリット

  • ブリッジのように不必要に健康な歯を削る必要がありません。
  • 噛む力は自分の歯と同等で100%の回復です。
  • 周りの歯に負担がかからず、残っている歯の寿命が延びます。

インプラントのデメリット

  • 治療を受けられない方がいます。

    インプラントは手術を伴う治療法です。

    そのため、重度の糖尿病(特に内科的にコントロールされていない糖尿病)、骨祖症症(ビスフォスフォネート製薬の注射をうけられている方・ビスフォスフォネート製薬の経口薬を長年服用されている方)・全身疾患のある方などは、治療を受けて頂くことができない場合があります。

  • 治療費が高くなります。

    インプラントは保険適用外の自由診療となります。そのため治療費が高くなってしまいます。

    ※インプラント治療の費用は医療費控除の対象となります。簡単な確定申告により費用が一部戻ってきます。

インプラントの構造

インプラントは3つの部分から構成されています。

インプラント体

インプラント体
(フィクスチャー/歯根部)

直接歯槽骨の中に埋め込む部分で、歯根の役目を果たします。

素材はチタン、あるいはチタン合金で、ネジのような形をしています。

アパットメント

アパットメント(支台部)

歯根部に取り付けて、歯肉を貫通させる部分です。

上部構造

上部構造(人工歯冠)

一般的「歯」と呼ばれる天然歯の歯冠に相当する部分で上部構造とよばれているものです。

白い素材が主となり、材質は、力の強く加わる奥歯以外は、審美性・機能性の観点からセラミックが多く用いられます。

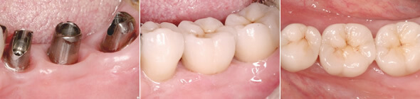
インプラントの治療例

どれがインプラント治療した
歯でしょうか?

インプラントの治療例

CTスキャン・精密検査にて
治療計画

インプラントの治療例

複雑なインプラント手術においてCTスキャン撮影は絶対に必要な検査です。

CTスキャンによって血管、神経、骨の状態を正確に判断する事ができます。

治療の流れ

診断
診断

インプラントの治療法には様々な選択肢があります。

患者様にとって、どの治療法が最もふさわしいか提示させて頂くためにカウンセリング、レントゲン撮影、模型診断、口腔内写真撮影などを行い、埋め込む骨の状態(骨の深さ、幅)、インプラントを植える位置を調べていきます。

治療計画の提示
治療計画の提示

診断内容に基づき、患者様に治療の内容、期間、およその治療費などを提示させて頂きます。

治療前処置
治療前処置

インプラント治療をよりスムーズに行うため、必要ならば虫歯治療や歯周病治療を並行して行います。

埋め込み手術(一次手術)
埋め込み手術(一次手術)

歯肉を開いて、顎の骨にインプラント体を埋め込みます。

要する時間は1~2時間。なお、局所麻酔を施したあと処置(手術)を行いますので、個人差はありますが、大きな痛みを感じることはありません。

治癒期間
治癒期間

一次手術で埋め込んだインプラント体を骨としっかり結合させるため、治癒期間を設けます。なお、治癒期間は部位や骨質などよって個人差があります。

短い場合では2ヶ月くらいで済みますが、長くかかる場合は6ヶ月ほどかかります。(約7回)この期間は、症例によって義歯をいれない場合や義歯を使って頂ける場合があります。

この期間は、症例によって義歯をいれない場合や義歯を使って頂ける場合があります。

人工歯の取り付け準備
人工歯の取り付け準備

インプラント体が完全に顎の骨と結合していることを確認した後、人工歯取り付けの準備を行います。

流れとしては、歯肉の中に埋まっているインプラントの頭部を露出させ、人工歯を連結させるための土台(アバットメント)を取りつけます(2回法の場合)。

この状態で3週間ほど歯茎が人工歯の装着に耐えられる状態になるまで回復の期間を設けます。

上部構造(クラウン)の装着
上部構造(クラウン)の装着

歯茎が回復したら、口の中と歯の型を取り、歯並びや形状、歯の色などを調べて、インプラントに連結させるセラミック製の人工歯を作ります。

約2~3週間後、最終的な歯が完成したら、いよいよ装着。ここで治療は一旦完了となります。

定期健診

定期健診

これで一旦治療は終了しますが、装着後の不備、清掃不良がないか等を調べるため1~3ヶ月毎の定期健診を行います。

患者様の状況、状態によって健診を行っていき1年後にインプラントの周りの骨の状態をレントゲンでチェックして問題がなければ1ヶ月~3ヶ月毎の定期検診で専門家によるお口の中の清掃、ブラッシング指導等を行っていきます。

インプラントのQ&A

インプラントの治療期間は
どれくらいですか?

インプラントの手術は数時間で終了し、入院の必要はありません。

術後の経過観察の為、通常4~6ヶ月間の通院が必要です。状態により治療期間が異なりますので、事前にご確認下さい。

インプラントの費用は
高くないですか?

治療の内容により費用は異なります。インプラントの治療は健康保険が適用されませんが、医療費控除の対象になる事もあります。

また、当院ではクレジットカードにて分割払いもご利用頂けます。インプラントは適切なアフターケアを行えば長期的に渡り機能します。

食べるという行為は、とても大切な生きる楽しみの1つなので、患者様のお考え一つだと思います。

痛みはありませんか?

手術の時には麻酔をしますので痛みはありません。また痛み止めや抗生物質等を処方致しますので、術後もこちらの指示通りに注意事項を守って頂ければ大丈夫です。

とても怖がりで手術が心配です

当院では恐怖心が強い患者様には麻酔科医の立会いのもと、点滴による静脈内鎮静法を行っております。

静脈鎮静法とは点滴による鎮静剤投与で浅い眠りの状態を作る麻酔法です。

治療中の不安や緊張を軽減させ、とくに全身疾患をお持ちの方や緊張の強い方に適しております。(尚、麻酔専門医が行いますので、その際別途5万円の追加費用がかかります。)

静脈内鎮静法をお受け頂く際の
注意事項

  • 体調がすぐれない場合は、事前に当院まで、ご連絡下さい。
  • 処置当日は開始時間の4時間前から飲食をお控え下さい。これは処置中に嘔吐した場合、吐物が気管へ流れ込むのを防ぐためなので、必ず守って下さい。
  • 当日は体を締め付けない楽な服装でお越し下さい。全身疾患を正確に把握するため、お化粧マニキュアは落として下さい。コンタクトレンズも処置中ははずして下さい。
  • 術後、帰宅される際、ご自身での自動車、バイクの運転をお控え下さい。公共の交通機関の利用や、付き添いの方による送迎をお願い致します。

ブリッジとインプラントでは
どちらがよいですか?

ブリッジは両側の健康な歯を削らなくてはなりません。

インプラントは新たに土台を増やすので残りの大切な自分の歯への負担を少なくする事ができます。歯の為には、インプラントをおすすめ致します。

どのくらい持ちますか?

お口の中の環境により人それぞれ違いますが、インプラントは第2の永久歯とよばれております。最も大切なのは術後の定期健診です。

メンテナンスにより問題を早期発見することが、より長い健康維持へと繋がります。当院では保証制度を設けております。

インプラント体を植える手術の保証期間は10年で上部構造については7年になっております。

審美インプラントとは?

審美インプラント

審美性に強いこだわりを持って

ただ単にインプラントをする時代は終わりました。これからは、いかに見た目が綺麗であるか、自然であるか、いかに機能的であるかが重要です。

当院では、スマイルラインをより美しく見せる治療計画を立てています。

治療①

オールセラミッククラウンを装着。天然歯と見分けが付かない色調。

治療例
期間 3ヶ月~1年 9~12回
内容 失った部位にインプラントを埋入
歯肉骨増生を行い天然歯を削らずに修復
費用(税別) ¥400,000~¥500,000

治療②

オールセラミック、ジルコニアで自然感のある状態に修復。奥歯でしっかり噛めるようになりました。

大臼歯2本をインプラントに

大臼歯2本をインプラント。小臼歯1本も同時に修復。

治療例
土台をインプラントに固定

ジルコニアの土台をインプラントに固定。

治療例
自然感のある状態に修復

オールセラミック、ジルコニアで自然感のある状態に修復。奥歯でしっかり噛めるようになりました。

治療例
期間 7回
内容 欠損にインプラントを2本埋入し修復

骨造成(GBR)とは?

骨造成(GBR)

上の歯は、上顎骨の中に埋まっていますが、奥歯の歯根の先には上顎洞という空洞があります。

上の奥歯にインプラントを埋入する際、深さが足りない場合空洞に突き抜けないように空洞粘膜を持ち上げ骨を増やす手術をします。

その方法が、サイナスリフト、ソケットリフトで高度なテクニックを必要とする治療法です。

サイナスリフト 上の顎の横から上顎洞に穴を開けて、上顎洞粘膜を剥離し持ち上げ、そこへ人口骨、骨補填材を入れる方法です。
ソケットリフト 上の顎に下から小さな穴を開けて、そこから少しずつ人口骨、骨補填材をゆっくり入れていく方法です。

治療の流れ

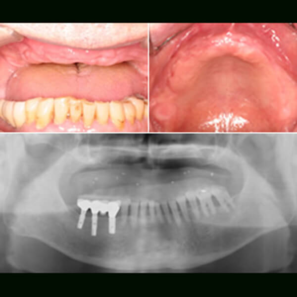
治療例①:
サイナスリフトによる骨造成

術前レントゲン画像

術前にレントゲンを撮影致します。

術前レントゲン画像
上の奥歯4本欠損

上の奥歯4本が欠損していることが分かりました。

上の奥歯4本欠損
サイナスリフトにより骨造成

サイナスリフトにより骨造成を行います。

サイナスリフトにより骨造成
アパットメントを連結

歯ぐきの治癒を待ってアパットメントを連結。

アパットメントを連結
インプラント4本埋入

骨造成をしてインプラント4本埋入。

インプラント4本埋入

治療例②:
骨幅が少ない部分に
GBRを用いた例

インプラントを埋入予定

左側3本のインプラントを埋入予定。

インプラントを埋入予定
インプラントを埋入

インプラントを埋入してチタンの土台をとりつけました。

インプラントを埋入
かぶせものをセット

最終のかぶせものがセットされました。

かぶせものをセット
インプラント埋入後

インプラント埋入後のレントゲン写真。

インプラント埋入後

即時荷重・オールオン4

即時荷重

即時荷重とは?

即時荷重は即日インプラントとも言われ、インプラントを入れた日に仮歯の装着まで行う治療法です。

施術を行ったその日に仮歯で食事をすることが可能となります。

通常のインプラントの場合、埋入後2~6ヶ月骨とインプラント体がくっつくまで待たなければなりませんが、即時荷重ではインプラントを植立してすぐに、仮歯をインプラント上に装着します。

下顎の歯で3ヶ月、上顎の歯で3~6ヶ月の安定期間をとり、最終的な歯が入ります。噛む機能、審美性を即日取り戻すことが可能ですが、高度な技術が必要です。

顎の骨の状態、骨量、骨密度が十分ある顎でなければ適用できません。

こんな方におすすめ!

  • 全ての歯を失った方
  • 残っている歯がわずかな方
オールオン4

オールオン4とは?

総入れ歯の方や多くの歯をなくされた方への最先端のインプラント治療法です。奥のインプラントを骨のある部分へ斜めに埋入します。

インプラントにかかる力を均等にわけて、骨の中での安定性を確保させ最小4本のインプラントで全ての人口歯12本を支える方法です。

6本のインプラントで全ての歯を支えるのがオールオン6です。

術前

術前
(上の歯が一本も無い状態)

術前
治療計画

レントゲン、CT撮影にて治療計画(ノーベルガイドを用いたシュミレーション)

治療計画
フラップスで手術

ノーベルガイドを用いて6本のインプラントをフラップスで手術

フラップスで手術
術後

術後
(その日の内に仮歯を装着)

術後
最終的なブリッジ

約半年後に美しい仕上がりの最終的なブリッジが入ります

最終的なブリッジ

サージカルテンプレートを用いたフラップレスで、確実でより安全に

インプラント

CTスキャンデータ、3Dシミュレーションソフトを使いインプラントの埋める位置を確認します。

そのデータをもとに、精巧なノーベルガイドを用いたサージカルテンプレートを作製。シミュレーションにより算出したインプラントの埋入の位置や角度が正確にわかりますので、安全で確実な手術ができます。

オペはこの、サージカルテンプレートを歯肉へ装着して、一部分に小さな穴を開けてインプラントを埋入します。

ほとんどの歯肉をきりませんので術後の腫れ・痛みをおさえることができます。

インプラント義歯とは?

インプラント義歯

あごの骨にインプラント(ネジのようなものを埋め込んだもの)をうえて、そのインプラントを土台として入れ歯を装着する方法です。インプラントを片あごに4本埋入して、アタッチメントを取り付けます。

入れ歯をしっかりと固定することができ、入れ歯のがたつきにより発生する痛みもありません。(インプラントの必要本数が確保できない場合や、治療時間・金銭面の負担を軽減させたい時)

インプラント義歯のメリット

  • 入れ歯の中で、最も入れ歯を固定することができる。
  • がたつきによる痛みを軽減。
  • 入れ歯の中で咀嚼率(噛む力)が最も高い。
  • 違和感がなく、自分の歯に近い感覚で、落ちたりはずれることがほとんどない。
  • 取り外しができ、清掃が楽。
  • 息が漏れず、顔の張りを保てる。

インプラント義歯のデメリット

  • 歯以外に歯ぐきに相当する台の部分が義歯につく
  • 治療期間が長い(インプラントと骨がくっつくのに2~6ヶ月かかります)。
  • 樹脂の部分の強度が少し弱い

義歯もインプラントの時代です

歯科のインプラントの普及により、インプラントを利用したオーバーデンチャーも増えています。

顎堤の吸収の大きなケースや、もっと安定して噛みたいと言う願望を叶えるための1つの重要な方法です。少ないインプラントの数で大きな効果を発揮できます。

技工物について

技工物

患者様一人一人に合わせた技工物をフルオーダーメイドで製作します。

審美治療は、ドクターとセラミスト(技工士)の技術、経験により大きく左右されます。

模型シミュレーション

step.1

模型シミュレーション

まずは、歯の型をとる工程を行っていきます。

step.2

インプラント

精巧に作成した歯ぐきの模型です。他の医院ではあまり作成されないこだわりの方法です。インプラント直後の歯ぐきと、しばらくたって落ち着いた歯ぐきは、かなり違う形態になっています。

歯ぐきを模型化シミュレーションすることで、天然歯に近いインプラント治療ができるのです。

step.3

インプラント

そして、歯が完成致しました。

実際の治療

治療①

実際の治療
期間 約3ヶ月 7回
内容 欠損部にインプラントを4本埋入し固定式セラミッククラウンを装着
※このケースはブリッジが無理で義歯(部分入れ歯)かインプラントが適応
メリット ・残存歯にかかる負担を軽減
・奥歯でしっかり噛むことができる
デメリット ・入れ歯に比べ費用がかかる

料金について

料金について

インプラント治療は、上部構造の素材(セラミックや金属など)、十分な骨があるかなどによって価格が変動致します。

患者様の現在のお口の状態を詳しく見せて頂いた上で、明確な料金提示と治療の具体的なご説明をさせて頂きます。

また、診断、見積もり後に追加料金が発生することは一切ございません。

カウンセリングは無料です。治療に対する疑問やご不安な点は納得いくまでご相談下さいませ。

インプラント1本にかかる
費用の例

※横にスライドしてご覧頂けます。

CT撮影 インプラント体・手術料 上部構造(人工歯冠) 合計
期間 - オペ時間1H~2H 型取り後約2週間 12~24日間
期間 ¥10,000 ¥250,000 ¥150,000 ¥400,000
保証期間 - 10年保証 7年保証 -
支払い 現金・クレジットカード・銀行振込み可

※上記金額は税別料金となっております。
※上記保証期間は当院指定の定期健診を受けて頂くことが条件です。

治療費

※横にスライドしてご覧頂けます。

治療内容 金額
インプラント治療相談・カウンセリング 無料
CT撮影 ¥10,000
インプラント体・手術料 ¥250,000
かぶせ物(上部構造) オールセラミック ¥150,000 / 1本
メタルセラミック ¥100,000 / 1本
ゴールド ¥100,000 / 1本
ジルコニア、アパットメント ¥50,000 / 1本
骨造成(必要な場合) ¥70,000~¥200,000
ソケットリフト 約¥50,000 / (一歯につき)
サイナスリフト 片顎¥150,000~¥200,000

※上記金額は税別料金となっております。

インプラントの
保証期間について

インプラントが万一抜け落ちた場合、10年間は無料で再手術をさせて頂きます。

また、上部構造は7年間無償で再治療させて頂きます。(永続性を大切に治療しているので、インプラントが10年で抜け落ちたり、上部構造が7年ではずれたり等、そういうものではありません。)

保証の条件として、当院指定の定期メンテナンスを受けて下さい。定期健診を受診されない場合は保証の限りではありません。

定期的なメンテナンスのすすめ

定期的なメンテナンス

インプラントは人工歯ですが、天然歯と同様メンテナンスが必要です。

しっかりとブラッシング指導を受けて、日々磨く事が大切です。インプラントには、神経がないので、感染しても自覚症状がありません。インプラントの周りから膿が出て初めて気づくのです。

こうならない為にも、必ず定期的にインプラントの状態、歯茎の状態、噛み合わせのチェックと専門的なケアを受けて下さい。

日頃の歯磨き、定期検診、メンテナンスを心がける事でいつまでもインプラントで美味しく食事ができるのです。

医療費控除について

インプラントは保険適用外の自由診療となります。そのため治療費が高くなってしまいます。

※インプラント治療の費用は医療費控除の対象となります。簡単な確定申告により費用が戻ってきます。

医療費控除とは

自分や家族が、前年1年間に医療費として支払った金額を合計し、そして同じ1年間の所得金額との割合によって、決められます。治療費を支払った領収書は、必ず取っておきましょう。

医療費控除計算式

医療費控除

医療費控除の申請のしかたは?

1年間の治療費の領収書と、通院にかかった交通費の合計額を算出しておきます。

翌年の2月16日から3月15日までの確定申告の期間内に、管轄の役所や税務署で、所定の用紙に記入して提出します。

また郵送でも受付可能です。高額な治療費を支払っても、場合によっては半額以上変換される事もあります。

〒530-0001
大阪府大阪市北区梅田1-11-4
大阪駅前第4ビル2階

診療時間
9:30~13:30 × ×
13:30~20:00 × ×

祝日のある週は水曜午後診療(14:30~20:00)を
行っています。

06-6343-8049 英語対応可 / Available in English